Phone

Download

social share

Share

Save

Save

Unlocking Health: How Colour Doppler Scan at Tushar Diagnostic Transforms Lives

Share it on:

Contact Us

Unlocking Health: How Colour Doppler Scan at Tushar Diagnostic Transforms Lives

Published on September 21, 2024

In the bustling city of Pune, lives a man named Rajesh

In the bustling city of Pune, lives a man named Rajesh. At 52, Rajesh had always been a pillar of strength for his family, working tirelessly to provide for them. However, recently, Rajesh began experiencing severe leg pain, which started as a minor inconvenience but soon turned into a debilitating issue. Visits to multiple doctors provided little relief until he encountered the life-changing technology of a Colour Doppler Scan at Tushar Diagnostic.

Understanding Rajesh's Journey

Rajesh's symptoms were perplexing. The pain in his legs was accompanied by swelling and odd discoloration, making everyday tasks a challenge. His emotional and physical well-being were heavily compromised. Rajesh’s condition not only affected him but also had a ripple effect on his family. His wife, Priya, and their two children were growing increasingly worried. The financial strain from multiple consultations and ineffective treatments was becoming unbearable.

One day, a friend recommended Tushar Diagnostic and their specialized Colour Doppler Scan service. Desperate for answers, Rajesh decided to give it a try.

The Game-Changing Solution

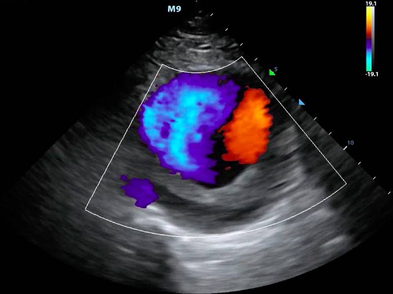
A Colour Doppler Scan is a non-invasive test that uses sound waves to visualize blood flow through arteries and veins. This advanced imaging technique allows doctors to detect blockages, clots, and other vascular issues with high precision. For Rajesh, this scan provided a clear, detailed picture of his circulatory system, revealing a significant blockage in one of his major arteries. The clarity and accuracy of the results were astonishing.

Why Tushar Diagnostic?

1. State-of-the-Art Technology
Tushar Diagnostic uses the latest equipment to ensure the highest accuracy and reliability in their scans.

2. Experienced Professionals
The team of radiologists and technicians at Tushar Diagnostic are not only highly skilled but also deeply compassionate, understanding the anxiety and stress that medical issues can bring.

3. Comprehensive Care
From initial consultation to detailed diagnosis and follow-up, Tushar Diagnostic offers a seamless and comprehensive care experience.

Emotional Healing

For Rajesh, the Colour Doppler Scan was more than a diagnostic tool; it was a beacon of hope. Understanding the root cause of his pain allowed him and his medical team to create an effective treatment plan. The emotional relief of knowing what was wrong and having a clear path to recovery was immense. Rajesh's experience underscores the critical importance of accurate diagnosis in managing and treating health conditions.



Consider the story of Meena, a 45-year-old school teacher from Mumbai. Like Rajesh, Meena suffered from unexplained leg pain and fatigue. She spent months going from one specialist to another with no clear answers. Finally, a visit to Tushar Diagnostic for a Colour Doppler Scan revealed a deep vein thrombosis (DVT), a potentially life-threatening condition if left untreated. The timely diagnosis allowed Meena to receive the necessary treatment, preventing severe complications and enabling her to return to her beloved teaching career.



The Colour Doppler Scan at Tushar Diagnostic is more than just a medical test; it's a lifeline for individuals like Rajesh and Meena. Its ability to provide precise and timely diagnoses not only alleviates physical pain but also offers emotional solace to patients and their families. If you or someone you love is experiencing similar symptoms, don't wait. Take the first step towards healing and peace of mind.



Contact Tushar Diagnostic today to schedule your Colour Doppler Scan. Your health and peace of mind are just a call away. Contact Now to take the first step towards a healthier, happier you.



SEO Tips

- Include keywords like "Colour Doppler Scan", "Tushar Diagnostic", "vascular health", "non-invasive test", "accurate diagnosis", and "health solutions in Pune".
- Use internal linking to direct readers to related services or testimonials on the Tushar Diagnostic website.
- Optimize images with alt text related to the Colour Doppler Scan to improve search engine visibility.
- Ensure the blog post is mobile-friendly as a majority of users may access it via smartphones.

By weaving real-life stories with factual information, this blog post provides a compelling narrative that highlights the practical and emotional benefits of the Colour Doppler Scan at Tushar Diagnostic.

Visit Vyaparify Site: https://id.vyaparify.com/tushar-diagnostic

Unlocking Health: How Colour Doppler Scan at Tushar Diagnost

Unlocking Health: How Colour Doppler Scan at Tushar Diagnost

Share it on:

Contact Us

back-to-top

Share