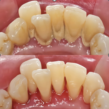
SCALING

Teeth scaling is a deep dental cleaning procedure that removes hardened plaque (tartar) and bacteria from tooth surfaces and beneath the gum line. To treat gum disease, prevent tooth loss, and freshen breath. It goes beyond regular cleanings, using ultrasonic tools and hand instruments.