Phone

Email

Download

social share

Share

Save

Save

A New Smile, A New Life: Transforming Oral Health with Dental Scaling

Share it on:

Contact Us

A New Smile, A New Life: Transforming Oral Health with Dental Scaling

In the bustling streets of Mumbai, amidst the aroma of spices and the vibrant chatter of locals, Anjali Mehta carried a secret she was almost too ashamed to admit. Her radiant smile was dimmed by the persistent issue of periodontal disease, something she had been battling silently for years. Like many, Anjali underestimated the importance of dental health, dismissing regular cleanings as unnecessary. Little did she know, the answer to her problem lay in the simple yet effective procedure of dental scaling.

Anjali, a 32-year-old marketing professional, is a prime example of our client persona. She is career-driven, social, and places great importance on her appearance and self-confidence. However, she faced a major distinct problem her oral health was affecting her self-esteem. Despite her accomplishments, Anjali often found herself covering her mouth when she laughed or spoke, afraid that others might notice her stained teeth and inflamed gums. This emotional burden was a barrier to her social and professional interactions, impacting her confidence dramatically.

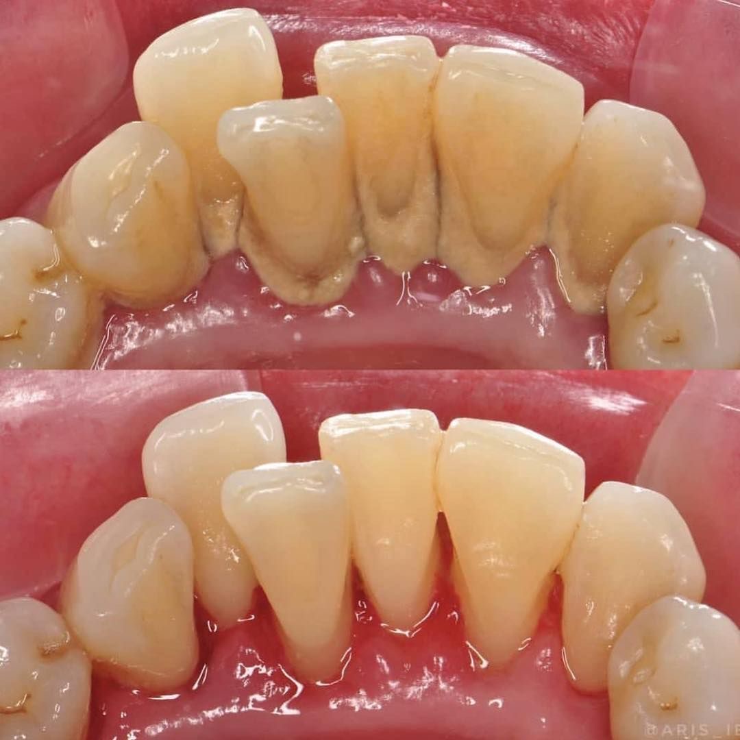
Dental scaling, a procedure designed to remove plaque and tartar build-up from teeth and gums, was the practical solution Anjali needed. This non-invasive treatment not only enhances oral health but also restores the natural beauty of one's smile, effectively addressing both the aesthetic and health-related concerns of individuals like Anjali.

Anjali's story is not unique. Millions of people in India suffer from gum disease, primarily due to neglect and lack of awareness about dental hygiene. Research suggests that almost 50% of adults over 30 have some form of periodontal disease, a condition that can lead to tooth loss if untreated. Dental scaling can prevent this, ensuring healthier gums and a brighter smile.

When Anjali decided to take control of her oral health, she visited a reputed dental clinic in her neighborhood. Her dentist, Dr. Ravi Kumar, patiently explained the process and benefits of dental scaling. He reassured her that the procedure was painless and would lead to significant improvements in her oral health. Motivated by the possibility of regaining her confidence, Anjali decided to undergo the treatment.

The results were nothing short of transformational. After a few sessions, the stains on Anjali's teeth were gone, and her gums were healthier than ever before. The discomfort she once felt was replaced by newfound confidence. Anjali could now laugh freely, speak without inhibition, and present herself with assurance in professional settings.

Emboldened by her experience, Anjali became an advocate for dental health among her peers, encouraging them to prioritize their oral hygiene and consider dental scaling as a viable solution. Her journey illustrates how a simple procedure can have a profound impact on one’s life, addressing both practical and emotional concerns.

For those wondering whether dental scaling is necessary, consider the broader benefits that go beyond just aesthetics. Improved oral health has been linked to better overall health, reducing the risk of heart disease, diabetes, and other systemic conditions. By investing in this procedure, individuals are not just enhancing their smile but also investing in their long-term well-being.

If you find yourself resonating with Anjali’s story, it's time to take the first step towards a healthier smile. Consult with a dental professional who can guide you through the process and help you understand the immense benefits of dental scaling. Remember, your smile is one of the first things people notice about you, and maintaining its health is crucial.

In conclusion, dental scaling is more than just a procedure; it’s a gateway to improved self-esteem and a healthier life. Like Anjali, you too can transform your smile and, in turn, your life. So why wait? Embrace the change today and experience the power of a beautiful, healthy smile.

Visit Vyaparify Site: https://id.vyaparify.com/apple_dental_clinic

Share it on:

Contact Us

back-to-top

Share