Phone

Email

Download

social share

Share

Save

Save

Transform Your Dental Experience: A Guide to a Confident Smile

Share it on:

Contact Us

Transform Your Dental Experience: A Guide to a Confident Smile

Published on May 17, 2025

In the bustling city of Pune, where life moves at a frenetic pace, people often overlook one of the most essential aspects of their health—their oral hygiene

In the bustling city of Pune, where life moves at a frenetic pace, people often overlook one of the most essential aspects of their health—their oral hygiene. Meet Priya Mehta, a 34-year-old marketing professional who, like many of us, finds herself caught in the whirlwind of work deadlines, social commitments, and the everyday demands of balancing life. As someone who meets new clients almost daily, Priya understands the importance of making a great first impression. Unfortunately, she has been battling a silent enemy—dental plaque and tartar—that has begun to dull her once radiant smile.

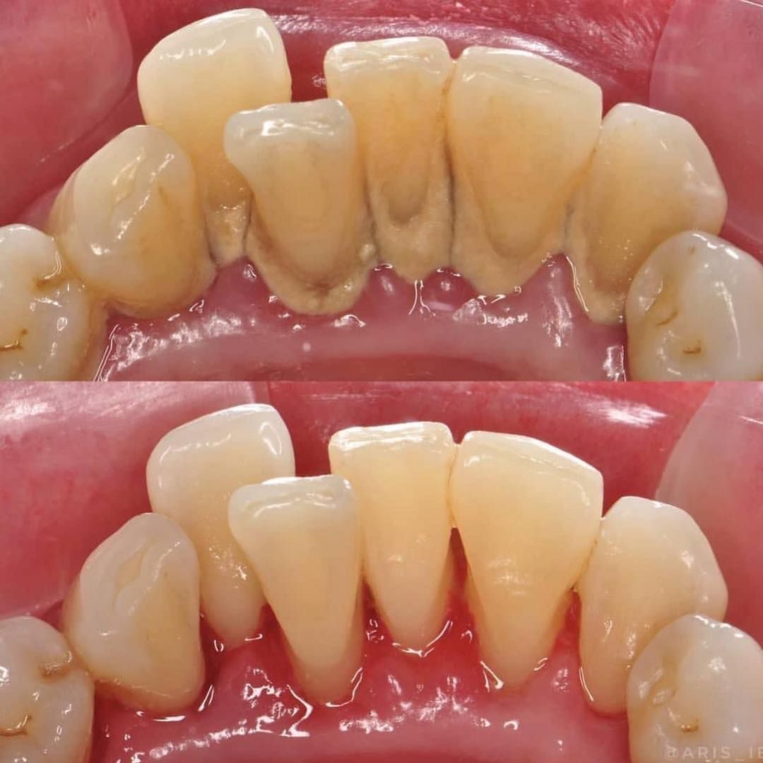
This is where the magic of dental scaling comes into play. If you’re unfamiliar with the term, scaling is a deep-cleaning procedure performed by dental professionals to remove plaque and tartar from teeth, especially below the gum line. For Priya, and many others like her, dental scaling is not just about maintaining oral hygiene; it’s about regaining confidence and ensuring that her smile reflects the vibrant personality she embodies.

The major problem faced by individuals like Priya is not just practical but deeply emotional. The buildup of plaque and tartar can lead to gum disease, bad breath, and stained teeth, which in turn can severely impact one’s self-esteem. In a country like India, where smiling is often seen as a sign of warmth and approachability, having any form of dental issue can become a significant emotional burden.

A recent study in Mumbai highlighted that about 70% of working professionals avoid social gatherings because they feel self-conscious about their teeth. This statistic is telling and emphasizes the importance of addressing oral health issues not just for physical well-being but for emotional wellness too.

Priya’s story is a testament to this. She recalls a time when she was hesitant to laugh openly during a client meeting because of her stained teeth. She felt her hesitation was affecting her work performance and personal interactions. It was a casual conversation with her colleague, Rohan, that changed everything. Rohan, who had faced similar issues, recommended a visit to a reputable dental clinic that specialized in scaling procedures.

Initially apprehensive, Priya decided to give it a try. Her experience was transformative. The dental scaling procedure was quick, painless, and incredibly effective. Within a single session, the plaque and tartar were removed, leaving her teeth clean and noticeably brighter. The real surprise, however, was the immediate boost in her confidence. Priya no longer hesitated to smile during meetings, and her newfound assurance even helped her close a significant deal for her company.

The benefits of dental scaling extend beyond just aesthetics. Regular scaling can prevent gum disease, reduce the risk of cavities, and improve overall oral health. For someone like Priya, it’s not just about having a beautiful smile but ensuring that her oral health is in top condition, enabling her to focus on what truly matters—her career and personal life.

For anyone facing similar issues, the solution is clear. Don’t let dental problems hold you back from living your life to the fullest. A simple visit to a trusted dental clinic for a scaling procedure can make all the difference. Imagine walking into a room and not worrying about your smile or feeling self-conscious about bad breath. It’s not just about aesthetics; it’s about taking charge of your health and embracing life with confidence.

In conclusion, dental scaling is more than just a procedure; it’s an opportunity to transform your life. Like Priya, you too can experience the joy and confidence that comes with a healthy, radiant smile. So, why wait? Book your appointment today and take the first step towards a brighter, healthier future. Your smile is your best accessory—make sure it’s one you’re proud of.

Visit Vyaparify Site: https://id.vyaparify.com/apple_dental_clinic

Transform Your Dental Experience: A Guide to a Confident Smi

Transform Your Dental Experience: A Guide to a Confident Smi

Share it on:

Contact Us

back-to-top

Share