Phone

Email

Download

social share

Share

Save

Save

Transform Your Smile: How Scaling Can Revitalize Your Oral Health

Share it on:

Contact Us

Transform Your Smile: How Scaling Can Revitalize Your Oral Health

In the bustling city of Mumbai, amid the daily grind and endless hustle, our smiles often take a backseat. Meet Priya, a 35-year-old marketing executive, juggling work, family, and personal commitments. Despite her meticulous nature, Priya began noticing a dullness in her smile and persistent bad breath that no amount of mouthwash could fix. She felt self-conscious during client meetings and social gatherings, worried that her oral health issues might be noticeable to others.

Priya's story is not unique. Many individuals overlook the importance of regular dental scaling, unaware of the profound impact it can have on their overall oral health and confidence. Dental scaling is a routine procedure offered at Apple Dental Clinic, designed to remove tartar and plaque buildup that regular brushing and flossing cannot eliminate.

The Problem
One major problem faced by clients like Priya is the accumulation of tartar and plaque, leading to gum disease, bad breath, and a less-than-ideal smile. This issue is both practical and emotional – it affects oral health and self-esteem. Many people are unaware that these problems can be effectively addressed with professional dental scaling.

Why Dental Scaling?
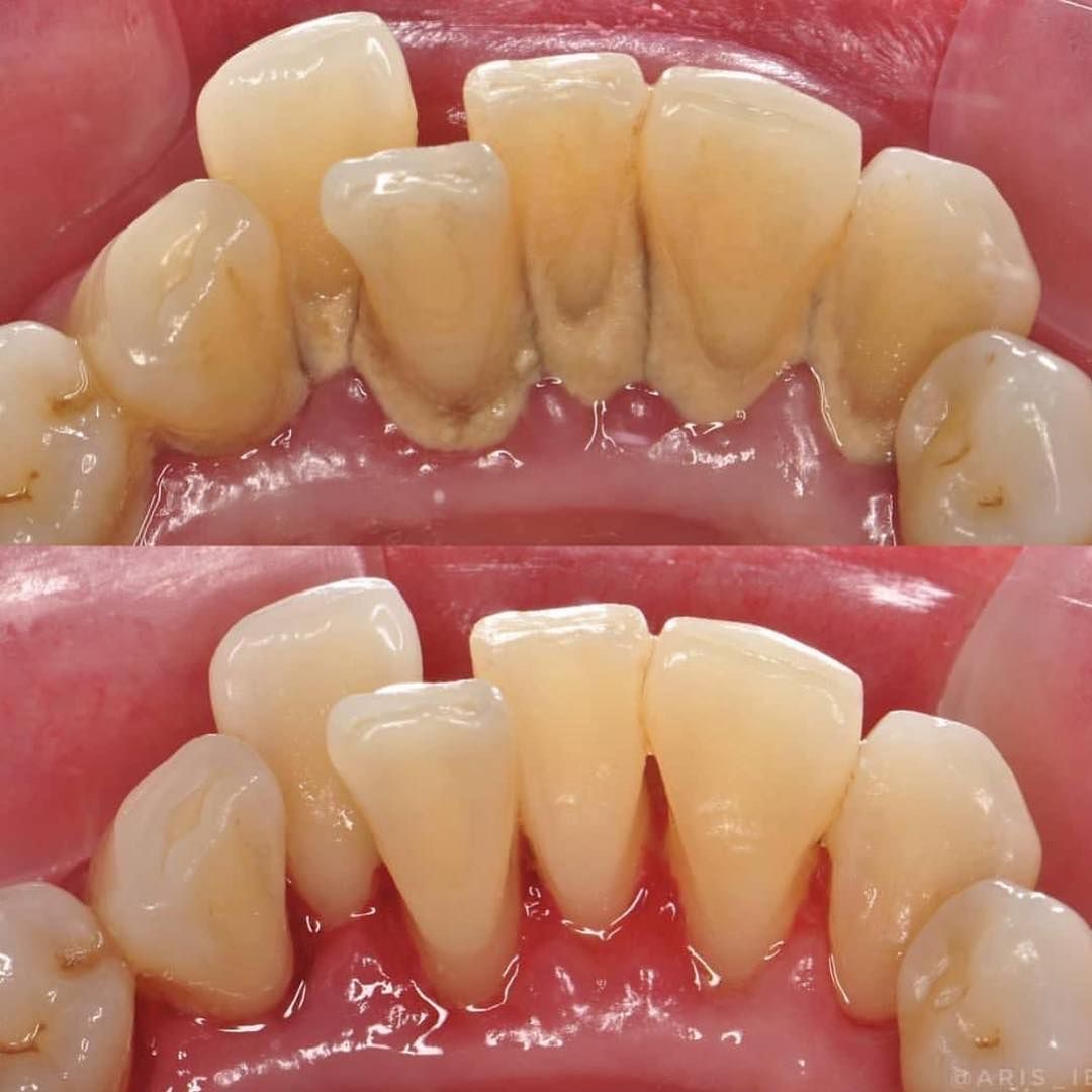
Dental scaling is a deep-cleaning procedure that goes beyond the surface. It involves the removal of hardened plaque (tartar) from the teeth and beneath the gums. This process not only helps in preventing gum diseases but also eliminates bad breath and revitalizes your smile. At Apple Dental Clinic, our experienced dentists ensure a comfortable and efficient scaling experience, leaving you with a healthier mouth and a brighter smile.

Priya's Transformation
After hearing about Apple Dental Clinic from a colleague, Priya decided to book an appointment. During her consultation, Dr. Arvind, a seasoned dentist at the clinic, explained the benefits of dental scaling and how it could address her concerns. Priya felt reassured and decided to proceed with the treatment.

The procedure was quick and painless. Dr. Arvind used advanced tools to carefully remove the tartar and plaque buildup. The result? Priya's teeth felt cleaner, her gums were healthier, and the bad breath was gone. More importantly, Priya regained her confidence. She could now smile freely without worrying about her oral health.

Rahul's Journey
Rahul, a 28-year-old software developer from Bangalore, had a similar experience. Despite his busy schedule, Rahul made it a point to maintain good oral hygiene. However, he noticed that his gums would bleed occasionally while brushing, and his teeth were not as white as they used to be.

On his dentist's recommendation, Rahul visited Apple Dental Clinic for a scaling session. The procedure was thorough, addressing all the problematic areas that regular brushing missed. Post-scaling, Rahul not only saw a visible difference in the whiteness of his teeth but also experienced healthier gums – no more bleeding!

The Benefits of Dental Scaling
1. Prevents Gum Disease By removing tartar buildup, dental scaling helps in preventing gingivitis and periodontal diseases.
2. Eliminates Bad Breath Tartar and plaque are breeding grounds for bacteria that cause bad breath. Scaling eradicates these bacteria, leaving you with fresher breath.
3. Improves Aesthetics A cleaner, whiter smile boosts your self-confidence.
4. Enhances Oral Health Regular scaling can prevent cavities and other dental issues, ensuring long-term oral health.

Take the First Step Towards a Healthier Smile
If you, like Priya and Rahul, are experiencing similar issues, it might be time to consider dental scaling at Apple Dental Clinic. Our team of experienced dentists is here to provide you with the best care and help you achieve a radiant smile.

Don't wait until minor issues turn into major problems. Contact us now to schedule your appointment and take the first step towards a healthier, brighter smile. Visit [Apple Dental Clinic](https//id.vyaparify.com/apple_dental_clinic/product/scaling) to learn more and book your session today!


Dental scaling is more than just a deep-cleaning procedure; it is a gateway to better oral health and improved self-confidence. Priya and Rahul’s stories are testaments to the transformative power of this treatment. Prioritize your oral health and experience the difference at Apple Dental Clinic.


Contact Now to book your dental scaling appointment with us and start your journey towards a healthier smile!

Visit Vyaparify Site: https://id.vyaparify.com/apple_dental_clinic

Share it on:

Contact Us

back-to-top

Share