Phone

Email

Download

social share

Share

Save

Save

Transform Your Smile, Transform Your Life: How Scaling Solves Oral Woes

Share it on:

Contact Us

Transform Your Smile, Transform Your Life: How Scaling Solves Oral Woes

In the bustling streets of Bengaluru, where life is fast-paced and opportunities are abundant, a confident smile can often be the key to unlocking endless possibilities. Meet Anjali, a vibrant 29-year-old marketing professional who knows this all too well. She's climbing the corporate ladder, but something as simple as her smile is holding her back.

Anjali's story is not unique. Many professionals like her grapple with the same challenge maintaining a bright, healthy smile amidst a hectic lifestyle. Anjali loves her job, but her schedule leaves her with little time for personal care. Over time, she noticed her teeth losing their natural sheen, her gums feeling tender, and an increasing sense of self-consciousness during client meetings. Anjali's oral health was impacting her confidence, and she felt it was time to seek a solution.

This is where dental scaling comes in—a simple yet transformative treatment that can revitalize your oral health and boost your self-esteem. Dental scaling addresses both the emotional and practical problems faced by professionals like Anjali.

Understanding the Problem

For many individuals, especially those in high-pressure jobs, oral hygiene can often take a backseat. Coffee breaks, hurried meals, and late nights can contribute to plaque buildup and gum issues. This not only affects dental health but also leads to a lack of confidence. Anjali's story is a testament to how an emotional problem like self-consciousness can stem from a practical issue—poor oral hygiene.

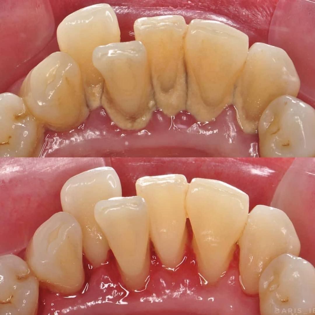
The Solution Dental Scaling

Dental scaling is a non-invasive procedure that effectively removes plaque and tartar from the teeth and below the gum line. It's a practical solution that targets the root of the problem, offering both immediate and long-term benefits. After undergoing dental scaling, Anjali noticed a significant improvement in her oral health. Her gums were healthier, her teeth felt cleaner, and most importantly, her confidence soared.

Anjali's Transformation

With her newfound confidence, Anjali began to notice changes in other areas of her life. In meetings, she was no longer hesitant to smile, and her interactions with clients became more engaging. Her colleagues noticed her positive demeanor, and she even received commendations for her work. Anjali's transformation was not just about her smile; it was about reclaiming her self-assurance.

Raj's Journey

Let's take a look at another example—Raj, a 35-year-old software engineer from Pune. Raj was experiencing similar issues, with persistent bad breath and gum sensitivity making him conscious during team collaborations. After undergoing dental scaling, Raj not only experienced a marked improvement in his oral hygiene but also found himself more willing to participate in social gatherings and work events. His peers noticed a change in his attitude, which helped him forge better professional relationships.

Why Dental Scaling Matters

Dental scaling is more than just a cleaning procedure; it’s a gateway to a healthier lifestyle. It helps prevent serious dental issues like periodontitis and tooth decay, which can have long-term repercussions if left untreated. For individuals like Anjali and Raj, scaling is an investment in their health and well-being.



In a world where first impressions matter, having a confident smile can be a game-changer. Dental scaling offers a practical and effective solution to oral health issues, boosting confidence and opening doors to new opportunities. If you're experiencing similar challenges, consider dental scaling as your first step towards a brighter, more confident smile.

Remember, your smile is your best accessory—wear it proudly!

Visit Vyaparify Site: https://id.vyaparify.com/apple_dental_clinic

Share it on:

Contact Us

back-to-top

Share