Phone

Email

Download

social share

Share

Save

Save

Transform Your Smile with Apple Dental Clinic's Scaling Service

Share it on:

Contact Us

Transform Your Smile with Apple Dental Clinic's Scaling Service

In the bustling city of Pune, where the streets are a symphony of honking cars and vibrant street vendors, Anjali, a dedicated school teacher, was facing a dilemma that many of us tend to overlook until it becomes an unavoidable problem. Anjali had always been conscious about her oral health, but over the years, her once radiant smile began to lose its sparkle. The culprit? Plaque buildup and persistent stains that no amount of regular brushing seemed to solve.

Anjali's story is not uncommon. In fact, many Indians face similar challenges due to lifestyle factors and dietary habits. The rich, spicy cuisine we love so much, combined with tea and coffee, can lead to significant plaque accumulation. But Anjali's concern ran deeper than just aesthetics. The plaque buildup was starting to cause gum sensitivity and occasional bleeding, an emotional and practical concern for her.

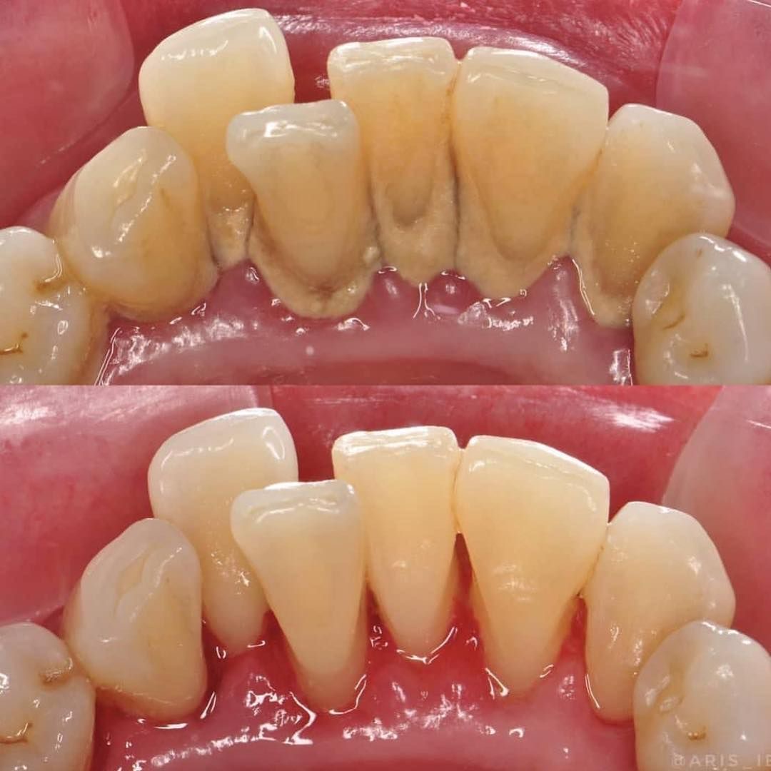
This is where Apple Dental Clinic's scaling service comes into play. Scaling, a common dental procedure, involves removing plaque and tartar deposits on the teeth to prevent gum disease and maintain oral health. For Anjali, it wasn't just about brightening her smile; it was about reclaiming her confidence and comfort in her daily interactions.

Anjali decided to visit Apple Dental Clinic after a recommendation from her colleague, Rajesh, who had experienced a similar problem. Rajesh, an IT professional, had been dealing with bad breath due to plaque buildup, which was affecting his confidence in meetings and social gatherings. After undergoing the scaling procedure at Apple Dental Clinic, Rajesh noticed not only a fresher breath but also an enhanced sense of self-assurance. Rajesh's glowing recommendation was enough to convince Anjali to give it a try.

The moment Anjali walked into the clinic, she was greeted by a warm and welcoming staff. The clinic's serene environment, equipped with the latest technology, immediately put her at ease. The dentist explained the entire scaling process, addressing all her concerns and ensuring she felt comfortable throughout the procedure.

During the scaling session, as the dentist meticulously worked on her teeth, Anjali felt a sense of relief wash over her. The process was thorough yet gentle, and the dentist's expertise was evident. Anjali was amazed at how quickly the session went by, and she left the clinic feeling lighter and more confident about her oral health.

The transformation was remarkable. Anjali's smile was visibly brighter, and the discomfort she used to feel while eating her favorite spicy curry was gone. She noticed an improvement in her gum health and, most importantly, her confidence soared. Anjali's students even commented on how much happier and more vibrant she seemed.

Apple Dental Clinic's scaling service had not only solved Anjali's practical problem of plaque buildup but also addressed the emotional burden she had been carrying. Her renewed confidence was evident in every interaction, whether it was teaching her students or enjoying a cup of chai with friends.

This success story highlights the importance of regular dental check-ups and scaling. By tackling the issue of plaque buildup, not only are we preserving our oral health, but we're also enhancing our quality of life. Apple Dental Clinic's scaling service offers a practical solution to a widespread problem, helping individuals like Anjali and Rajesh regain their smiles and confidence.

If you find yourself in a similar situation, don't wait for the problem to escalate. Take a proactive step towards better oral health. Visit Apple Dental Clinic and experience the transformation yourself. After all, a healthy smile is not just a reflection of your oral health but a testament to your confidence and happiness.

In conclusion, scaling is more than just a dental procedure; it's a gateway to a brighter, healthier, and more confident you. So, why wait? Transform your smile today with Apple Dental Clinic.

Visit Vyaparify Site: https://id.vyaparify.com/apple_dental_clinic

Share it on:

Contact Us

back-to-top

Share