Phone

Email

Download

social share

Share

Save

Save

Transforming Smiles: How Scaling Can Revolutionize Your Dental Health

Share it on:

Contact Us

Transforming Smiles: How Scaling Can Revolutionize Your Dental Health

Imagine a world where every smile tells a story of confidence and health. For many, this is a dream waiting to be realized. Meet Priya Sharma, a 34-year-old marketing professional from Mumbai, whose smile tells a poignant tale of transformation. Priya, like countless others, had been grappling with a persistent dental issue that affected her both practically and emotionally until she discovered the life-changing benefits of dental scaling.

Priya’s journey began with a seemingly minor inconvenience – persistent bad breath. Despite her meticulous oral hygiene routine, the problem persisted, affecting her confidence at work and in social settings. She found herself avoiding close conversations and dreading client meetings, fearing judgment from colleagues and friends.

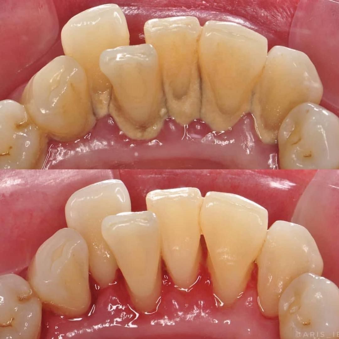
The root of Priya's problem was a common yet often overlooked dental issue plaque buildup. Over time, plaque hardens into tartar, which can lead to gum disease and bad breath if not addressed. This is where the magic of dental scaling comes into play, offering a practical solution to a widespread problem.

Dental scaling is a procedure that involves the removal of plaque and tartar from the teeth, particularly below the gumline. This process not only cleans the teeth but also prevents gum disease, ultimately leading to fresher breath and improved oral health. When Priya first visited Apple Dental Clinic, she was introduced to the concept of scaling by Dr. Anil Mehta, a highly regarded dentist known for his compassionate care and expertise.

Dr. Mehta explained to Priya how scaling could address her concerns effectively. He reassured her that the procedure, though routine, could have a profound impact on her oral health and overall well-being. Intrigued and hopeful, Priya decided to undergo the treatment.

The procedure was straightforward and painless, much to Priya’s relief. After her appointment, she noticed an immediate difference. Her teeth felt smoother, and most importantly, the persistent bad breath was gone. Priya's confidence soared, and she found herself engaging more openly with colleagues and friends, her smile brighter and more genuine than ever before.

Priya's transformation is a testament to the power of dental scaling in solving practical dental issues that can have emotional repercussions. She is not alone in her journey. Many individuals across India face similar challenges, unaware that a simple dental procedure could dramatically improve their quality of life.

Consider Rahul Kapoor, a young entrepreneur in Bengaluru who faced chronic gum bleeding. Like Priya, Rahul was meticulous about his oral hygiene but couldn't seem to solve the problem. His dentist recommended scaling, and after just one session, Rahul noticed a significant reduction in gum bleeding. His confidence restored, he tackled business meetings with renewed vigor, unafraid to showcase his winning smile.

These stories highlight a common theme the profound impact of scaling on both physical and emotional well-being. The procedure not only addresses visible dental issues but also alleviates the hidden stress and anxiety that often accompany them.

In India, where cultural emphasis on personal presentation is significant, maintaining a healthy and bright smile is crucial. Yet, dental care often takes a backseat due to lack of awareness or misconceptions about dental procedures. Scaling stands out as a simple, effective solution to common dental problems, making it a vital part of regular dental care.

For those like Priya and Rahul, scaling was the key to unlocking a healthier, more confident version of themselves. It’s a reminder that sometimes, the solution to our problems lies in taking that first step towards seeking professional help.

In conclusion, if you’re grappling with persistent dental issues such as bad breath or gum problems, consider the transformative power of scaling. With the right care and guidance from dental professionals, you too can experience the life-changing benefits of a healthy, radiant smile. Don’t let dental issues hold you back – take control of your oral health and let your smile shine!

Note For optimal results, it’s recommended to consult with a qualified dental professional to determine the best care plan tailored to your individual needs.

Visit Vyaparify Site: https://id.vyaparify.com/apple_dental_clinic

Share it on:

Contact Us

back-to-top

Share