Enter Password
Ok
Go to homepage
Navodaya Sonography Centre
Show Number
Enquire Now
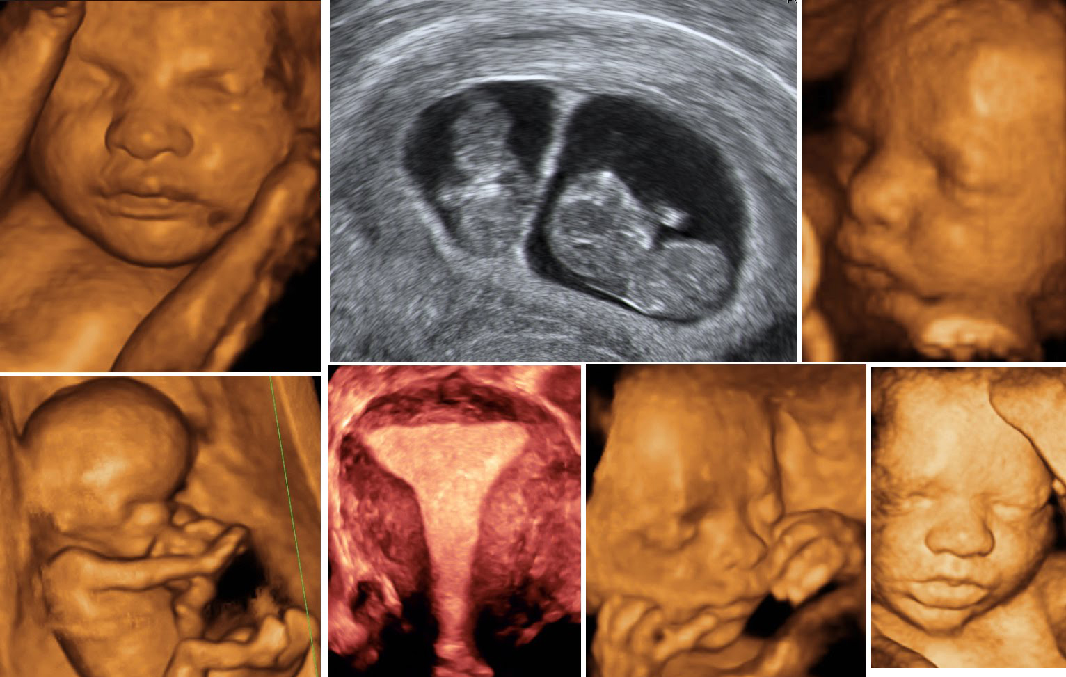
Obstetric Color Doppler
Experience the radiance of new beginnings with our advanced Obstetric Color Doppler services. Illuminate your pregnancy journey at Navodaya Sonography, Bhopal
Obstetric Color Doppler
Send Enquiry
Call
Share
×
Enquiries / Get Quote
Name*
Phone number*
+91
Email (Optional)
Your Message (Optional)
Send Enquiry
×
Contact Information
+917999021321
×
Share My Vyaparify ID
https://id.vyaparify.com/navodaya_-sonography
×
Product -
Amount -
Submit
We'd like to show you notifications for the latest updates.
Subscribe
Cancel
×
Make an Appointment
Date
Hour
Make an Appointment
Make Appointment
×
Name:
Email:
Phone: