Phone

Email

Download

social share

Share

Save

Save

A Perfect Smile: How OPG Dental Imaging Transforms Oral Health

Share it on:

Contact Us

A Perfect Smile: How OPG Dental Imaging Transforms Oral Health

In the bustling city of Indore, the Sharma family faced a dilemma that many Indian families encounter—persistent dental issues with no clear diagnosis. Anjali Sharma, a 37-year-old working mother, often found herself running between work and home, trying to manage her family’s schedules. Her 14-year-old son, Aryan, frequently complained of toothaches, disrupting their routine and causing sleepless nights. Despite multiple visits to the dentist, the root cause remained elusive, leading to frustration and worry for Anjali.

Enter OPG dental imaging, a revolutionary diagnostic tool that promises to change the landscape of dental healthcare in India. But how exactly does it tackle the challenges faced by families like the Sharmas?

Understanding the Problem

The primary challenge Anjali faced was the inability to pinpoint the exact issue causing Aryan’s dental pain. Traditional X-rays often provided limited views, requiring multiple sessions and still leaving room for uncertainty. The lack of a comprehensive, clear image of Aryan's dental structure meant that treatment plans were often based on guesswork rather than precise data. This not only prolonged Aryan’s discomfort but also led to unnecessary expenses for the Sharma family.

The OPG Solution

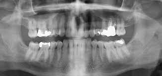
Orthopantomogram (OPG) dental imaging offers a panoramic, two-dimensional view of the mouth. This advanced technology captures an image of the entire dental structure in one go, including teeth, jaws, and surrounding bones. It's like having a complete map of the mouth, allowing dentists to accurately diagnose issues that were previously hidden.

When Anjali took Aryan for an OPG scan, the results were immediate and illuminating. The scan revealed an impacted wisdom tooth, which had been causing the pain. With this clear diagnosis, the dentist could develop a precise treatment plan, alleviating Aryan’s discomfort quickly and effectively.

A Story of Transformation

Consider the story of Rajesh and Priya, a retired couple in Mumbai, who also benefited from OPG imaging. Rajesh had been dealing with recurring gum issues, but each visit to the dentist ended in ambiguity. After undergoing an OPG scan, it was discovered that he had a cyst in his jawbone. The early detection allowed for prompt intervention, saving Rajesh from potential surgery and extensive recovery time. This not only improved his health but also preserved his peace of mind, knowing that his dental health was under control.

The Emotional Relief

For Anjali, the emotional relief was immense. No longer did she have to worry about Aryan’s unexplained pain or the potential for it to worsen. The clarity provided by OPG imaging meant she could focus on her work and family life without the looming anxiety of unresolved health issues. This peace of mind is invaluable, especially for parents juggling multiple responsibilities.

Why Choose OPG Imaging?

1. Comprehensive Diagnostics OPG scans provide a complete overview, reducing the need for multiple visits and ensuring accurate treatment plans.

2. Time and Cost Efficiency With clear diagnostics, unnecessary treatments and extended consultations are minimized, saving both time and money.

3. Non-Invasive Comfort The procedure is quick, painless, and does not require the patient to undergo uncomfortable or invasive processes.

4. Early Detection Identifying potential problems early can prevent severe complications, ensuring better long-term dental health.



OPG dental imaging offers a practical solution to a common problem faced by many Indian families. It combines the latest technology with the need for clarity and precision in dental care. For the Sharmas, and countless others like them, it means a future where dental health is managed with confidence and ease.

So, if you’re struggling with unresolved dental issues, why not explore the benefits of OPG imaging? It might just be the answer to your oral health challenges, ensuring happier smiles and healthier lives for you and your family.

Visit Vyaparify Site: https://id.vyaparify.com/sanya-karond-imaging-center

Share it on:

Contact Us

back-to-top

Share