Phone

Email

Download

social share

Share

Save

Save

How Colour Doppler Transformed Meera's Health Journey

Share it on:

Contact Us

How Colour Doppler Transformed Meera's Health Journey

Published on December 07, 2024

In the bustling city of Bhopal, amidst the vibrant streets and the serene lakes, lives a woman named Meera

In the bustling city of Bhopal, amidst the vibrant streets and the serene lakes, lives a woman named Meera. A devoted mother and a caring wife, Meera always put her family's needs above her own. But recently, she was faced with a mysterious challenge that threatened her lively spirit.

Meera had been experiencing unexplained fatigue and swelling in her legs. Initially, she brushed it aside, attributing it to her busy schedule. But as the discomfort grew, she realized it was time to seek help. A visit to the local doctor led to a recommendation for a Colour Doppler test, a term that was new to Meera but would soon become a beacon of hope.

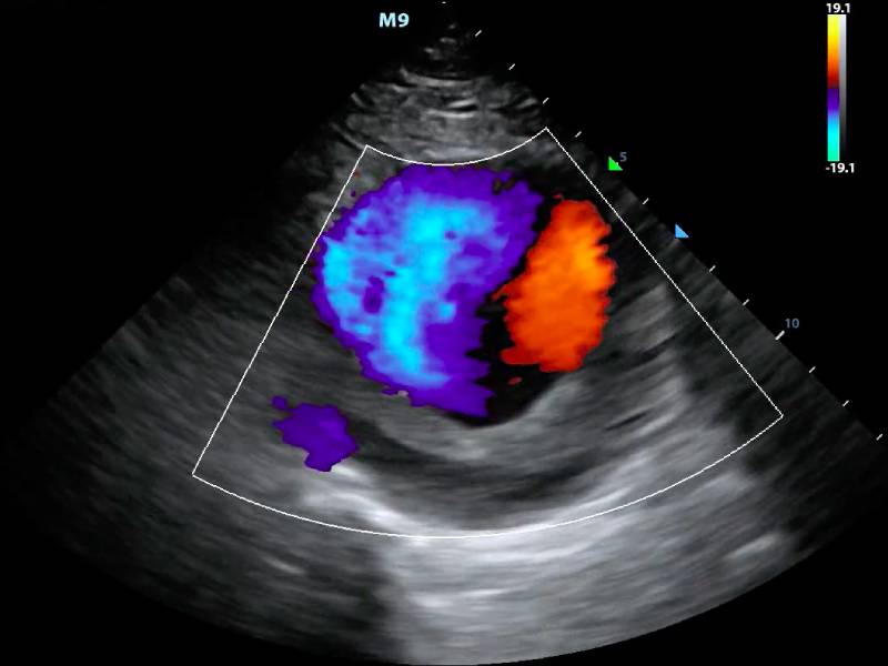
Colour Doppler imaging is a non-invasive test that uses sound waves to visualize blood flow in the body. It is particularly useful for diagnosing issues related to blood vessels and heart conditions. Meera's doctor suspected that her symptoms might be related to poor circulation, and the Colour Doppler scan was the ideal tool to investigate further.

As Meera sat nervously in the imaging center, she was greeted warmly by the staff, who reassured her about the procedure. The test was quick and painless, allowing Meera to return home that same day. A few days later, she received a call from her doctor with the results.

The Colour Doppler imaging had revealed a significant blockage in one of Meera's leg veins. This was causing the swelling and fatigue that had been plaguing her. With this clear diagnosis, her doctor could recommend an effective treatment plan, which included medication and lifestyle adjustments. Meera was relieved to finally have answers and a path forward.

This experience was a turning point for Meera. The Colour Doppler scan not only provided her with crucial information about her condition but also lifted the emotional burden of uncertainty. She was empowered to take charge of her health, ensuring that she could continue to care for her family with renewed energy.

In many parts of India, people like Meera face health challenges that remain undiagnosed due to a lack of accessible and accurate diagnostic tools. Colour Doppler imaging addresses a major distinct problem the need for precise and timely diagnosis of circulatory issues. By offering clarity and direction, this technology plays a critical role in improving the quality of life for countless individuals.

Consider the case of Rajesh, a retired teacher from Indore, who suffered from chronic leg pain. After visiting multiple clinics with no success, a Colour Doppler test finally identified a deep vein thrombosis. This timely diagnosis not only alleviated his physical discomfort but also prevented potential serious complications.

For healthcare providers, incorporating Colour Doppler imaging into their diagnostic repertoire can significantly enhance patient outcomes. It provides a clear, visual representation of blood flow, making it easier to pinpoint issues and tailor treatment plans accordingly. This efficiency not only benefits patients but also optimizes the workflow of healthcare facilities.

Colour Doppler imaging is more than just a medical test; it is a bridge to better health and peace of mind. For individuals like Meera and Rajesh, it is a vital tool that brings clarity to complex health issues, enabling them to lead fuller, healthier lives.

In conclusion, the power of Colour Doppler imaging lies in its ability to transform uncertainty into knowledge and fear into hope. As Meera continues her journey with renewed vigor, she is a testament to the difference this technology can make. For anyone facing similar unexplained symptoms, a Colour Doppler test might just be the key to unlocking a healthier future.



SEO Tips
- Use keywords such as "Colour Doppler imaging," "health diagnosis," "blood flow," and "Bhopal health solutions" throughout the blog.
- Include internal links to related healthcare topics.
- Encourage social sharing to increase reach and engagement.

Visit Vyaparify Site: https://id.vyaparify.com/sanya-karond-imaging-center

How Colour Doppler Transformed Meera's Health Journey Insigh

How Colour Doppler Transformed Meera's Health Journey Insigh

Share it on:

Contact Us

back-to-top

Share