Phone

Email

Download

social share

Share

Save

Save

Transforming Smiles: How OPG Dental Imaging Solves a Dentist’s Dilemma

Share it on:

Contact Us

Transforming Smiles: How OPG Dental Imaging Solves a Dentist’s Dilemma

In the bustling city of Pune, Dr. Meera Patel runs her dental clinic, known for its comfortable environment and exceptional care. Despite her clinic’s popularity, Dr. Meera often faced a significant challenge that troubled her accurately diagnosing complex dental issues. This challenge not only hindered her ability to provide the best care but also impacted her patients’ trust in her expertise.

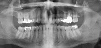
Dr. Meera’s story is not unique. Many dentists across India encounter similar hurdles where traditional diagnostic tools fall short. This is where OPG (Orthopantomogram) dental imaging comes into play, revolutionizing dental diagnostics and patient care.

Understanding Dr. Meera’s Challenge

Dr. Meera, known for her compassionate approach, had always prioritized her patients’ well-being. However, she found herself struggling with certain cases. For instance, one of her regular patients, Rohan, had persistent jaw pain that traditional X-rays couldn’t explain. Multiple visits and consultations led to no definitive diagnosis, leaving Rohan frustrated and Dr. Meera concerned.

This diagnostic impasse highlighted a significant problem the limitations of traditional dental imaging in capturing a comprehensive view of the oral cavity, particularly the jawbones and surrounding structures. For Dr. Meera, this was both a practical and emotional hurdle. She felt she was letting her patients down, despite her best efforts.

The Solution OPG Dental Imaging

During a dental conference, Dr. Meera was introduced to OPG dental imaging, a technology designed to capture panoramic views of the entire mouth in a single image. She learned how OPG could reveal details that traditional methods couldn’t, offering a clearer understanding of complex dental structures.

Excited about the potential, Dr. Meera decided to integrate OPG imaging into her practice. The results were transformative. With OPG, she could finally pinpoint the cause of Rohan’s jaw pain—a hidden dental cyst that had gone unnoticed. Thanks to the precise imaging, Dr. Meera was able to develop an effective treatment plan, alleviating Rohan’s pain and restoring his trust in her care.

A Game Changer for Dental Practices

OPG dental imaging not only resolved Dr. Meera’s professional challenges but also enhanced her clinic’s reputation. Patients appreciated the thorough diagnostics and felt more confident in their treatment plans. Moreover, the efficient imaging process meant quicker diagnostics and less chair time, improving the overall patient experience.

Dr. Meera’s clinic soon became a trusted name for those seeking second opinions on complex cases. Her ability to diagnose accurately and swiftly made her a sought-after expert, further solidifying her position as a leading dentist in Pune.

The Impact of OPG Imaging

To illustrate the product’s effectiveness, consider the case of another dentist, Dr. Rajesh from Chennai. Faced with a similar diagnostic challenge involving a young patient with unexplained facial swelling, Dr. Rajesh turned to OPG imaging. The panoramic view revealed an impacted wisdom tooth pressing against the nerve, which was missed in regular X-rays. The early and accurate diagnosis allowed Dr. Rajesh to perform a successful surgery, saving the patient from potential complications.

A Smile-Transforming Tool

For dentists like Dr. Meera and Dr. Rajesh, OPG dental imaging is more than just a tool; it’s a solution that bridges the gap between uncertainty and clarity. It empowers them to deliver enhanced patient care, fostering trust and satisfaction.

In a world where dental health is intricately linked to overall well-being, having the right diagnostic tools makes all the difference. OPG dental imaging not only transforms smiles but also enriches the professional journey of dedicated dentists, ensuring that every patient leaves the clinic with a confident smile.

As the sun sets over Pune, Dr. Meera reflects on her journey and the countless smiles she has restored. Thanks to the power of OPG imaging, her clinic continues to thrive, one smile at a time.

Visit Vyaparify Site: https://id.vyaparify.com/sanya-karond-imaging-center

Share it on:

Contact Us

back-to-top

Share