Phone

Download

social share

Share

Save

Save

Navigating Health with Confidence: How an Abdominal CT Scan Transformed Priya’s Life

Share it on:

Contact Us

Navigating Health with Confidence: How an Abdominal CT Scan Transformed Priya’s Life

In the bustling city of Pune, where life moves at a frenetic pace, Priya Sharma found herself at a crossroads. As a 42-year-old working professional and a mother of two, Priya had always been the epitome of health and vitality. However, a dull ache in her abdomen that refused to go away left her worried and anxious. The thought of a serious health issue loomed ominously over her daily life, stealing her peace of mind.

Priya's story is not uncommon. Many people, like her, face the fear of the unknown when it comes to health issues. The persistent pain was affecting her ability to focus at work and enjoy quality time with her family. After endless Google searches and consultations with friends, Priya decided to take the next step towards clarity and peace of mind – she opted for an abdominal CT scan.

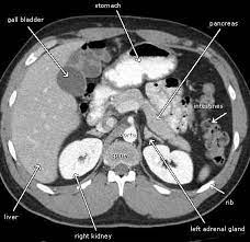
An abdominal CT scan is a powerful diagnostic tool that offers detailed images of the abdominal area. It helps in identifying the root cause of symptoms such as abdominal pain, swelling, or unexplained weight loss. For Priya, this was a practical solution to her emotional turmoil – the fear of not knowing what was happening inside her body.

The process was straightforward. Priya visited a renowned diagnostic center in Pune, where she was greeted by a team of compassionate professionals. They explained the procedure in detail, making her feel comfortable and at ease. As she lay in the CT scanner, Priya felt a sense of relief, knowing that she was taking a proactive step towards understanding her health better.

Within a few days, Priya received her results. The CT scan revealed a benign cyst that was causing her discomfort. Armed with this information, Priya was able to consult with her doctor and plan an effective treatment strategy. Her anxiety dissipated, replaced by a sense of empowerment and control over her health.

Priya's experience demonstrates the power of knowledge and clarity in addressing health concerns. The abdominal CT scan not only provided her with a diagnosis but also a roadmap for her treatment. It transformed her life by eliminating the fear of the unknown and allowing her to focus on recovery and wellness.

For many like Priya, an abdominal CT scan is more than just a diagnostic test; it is a gateway to understanding one's health. It offers a practical solution to the emotional problem of uncertainty, allowing individuals to make informed decisions about their well-being. The peace of mind that comes from knowing what lies beneath the surface is invaluable.

If you find yourself in a similar situation, experiencing unexplained abdominal discomfort or other related symptoms, consider the benefits of an abdominal CT scan. The detailed insights provided by this diagnostic tool can help you take control of your health journey, much like it did for Priya.

In conclusion, Priya's story is a testament to the transformative power of an abdominal CT scan. It highlights the importance of seeking clarity and taking proactive steps towards understanding one's health. Whether you are dealing with persistent pain, swelling, or other symptoms, remember that you are not alone. There are solutions available that can provide you with the answers you need, helping you navigate your health with confidence and peace of mind.

By choosing to explore diagnostic options like an abdominal CT scan, you are prioritizing your well-being and embracing the possibility of a healthier future. Just as Priya discovered, the journey to health and happiness often begins with understanding and knowledge.

Visit Vyaparify Site: https://id.vyaparify.com/vision-diagnostic-center

Share it on:

Contact Us

back-to-top

Share