Phone

Download

social share

Share

Save

Save

The Life-Saving Power of Abdominal CT Scans: A Story of Hope and Healing

Share it on:

Contact Us

The Life-Saving Power of Abdominal CT Scans: A Story of Hope and Healing

Published on December 28, 2024

In the bustling city of Mumbai, where life never seems to pause, Anita, a 45-year-old school teacher, found herself facing an unexpected health challenge

In the bustling city of Mumbai, where life never seems to pause, Anita, a 45-year-old school teacher, found herself facing an unexpected health challenge. Always energetic and vibrant, Anita had been experiencing severe abdominal pain for weeks. As the pain intensified, it began to disrupt her daily life, affecting her work and her ability to care for her family.

Anita's visits to various doctors only led to a barrage of tests, each more inconclusive than the last. The uncertainty gnawed at her, with the vague notion that something was amiss but no clear answers. Her family was anxious and worried—her husband, Rajesh, and her two children, Pooja and Arjun, rallied around her, but the lack of a diagnosis left everyone in limbo.

It was during this time of distress that her doctor recommended an abdominal CT scan. The suggestion was met with a mix of hope and apprehension. Anita’s mind raced with questions What if it showed something terrible? What if it showed nothing at all?

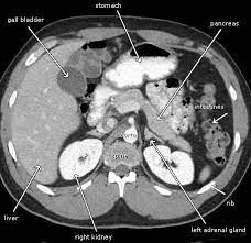
The abdominal CT scan is a powerful diagnostic tool that provides detailed images of the abdominal organs, revealing any abnormalities that might be causing discomfort. For Anita, this procedure was a crucial step in unveiling the hidden truths within her body. It promised to be the key to unlocking the mystery that had held her captive in a state of fear and uncertainty.

On the day of the scan, Anita felt a mixture of nerves and hope. As she lay on the table, the machine humming softly around her, she prayed for clarity and courage. The procedure itself was quick and painless, a small comfort amidst the emotional whirlwind.

A few days later, Anita received a call from her doctor. Her heart raced as she listened to the verdict. The scan had revealed a small but significant issue a gallstone lodged in her bile duct. While the news was serious, it was a relief to finally have a name for her pain and a path forward.

The clarity provided by the CT scan transformed Anita's journey. With a clear diagnosis in hand, her medical team was able to swiftly plan a treatment that would alleviate her pain and restore her health. The sense of relief was palpable not just for Anita, but for her entire family.

Anita's story is just one of many where an abdominal CT scan has been a game-changer. In a country as densely populated as India, where access to quick and accurate medical diagnoses can often be a challenge, the role of advanced imaging technology cannot be overstated. For individuals facing unresolved abdominal issues, these scans offer not just a practical solution but emotional solace—a way to confront and address health concerns with informed confidence.

Incorporating a case study from the bustling corridors of AIIMS, Delhi, we see a similar scenario where another patient, Ramesh, faced unexplained weight loss and fatigue. His abdominal CT scan revealed early-stage liver disease, allowing him to seek timely intervention and management. These real-life examples highlight the significance of abdominal CT scans in diagnosing conditions that might otherwise remain hidden until it's too late.

For those like Anita and Ramesh, an abdominal CT scan is more than a medical procedure; it is a beacon of hope and a pathway to healing. It alleviates the emotional burden of uncertainty, offering a sense of control and direction in tackling health challenges.

If you or a loved one are facing unexplained abdominal issues, consider discussing the possibility of an abdominal CT scan with your healthcare provider. It might just be the key to transforming your health journey, just as it did for Anita and countless others.

In a world where health mysteries can be as complex as the human body itself, the right diagnostic tool can make all the difference. An abdominal CT scan is not just a test; it's a testament to the power of modern medicine in providing clarity, hope, and healing.

Visit Vyaparify Site: https://id.vyaparify.com/vision-diagnostic-center

The Life-Saving Power of Abdominal CT Scans: A Story of Hope

The Life-Saving Power of Abdominal CT Scans: A Story of Hope

Share it on:

Contact Us

back-to-top

Share