Phone

Download

social share

Share

Save

Save

Transforming Lives: How Abdominal CT Scans Provide Peace of Mind

Share it on:

Contact Us

Transforming Lives: How Abdominal CT Scans Provide Peace of Mind

In an age where health concerns seem to loom larger than life itself, the need for timely and accurate diagnostic tools has never been more pressing. Imagine living with a persistent, nagging abdominal pain that refuses to let you enjoy the simple pleasures of life. This is a reality for many, including Meena, a 45-year-old homemaker from Jaipur, whose story highlights the transformative power of an abdominal CT scan.

Meena had been experiencing intermittent abdominal pain for months. Initially, she dismissed it as a minor digestive issue, attributing it to her spicy diet and busy lifestyle. But as the pain grew more frequent and intense, her anxiety soared. What if it was something serious? The fear of the unknown gripped her heart each time the pain resurfaced, overshadowing her daily activities and family time.

Amidst this turmoil, Meena’s doctor suggested an abdominal CT scan. The suggestion was met with apprehension. Would it be safe? Was it necessary? Despite her worries, Meena decided to go ahead with the procedure, driven by her desire for clarity and relief.

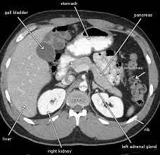
The abdominal CT scan, a non-invasive imaging procedure, offers a detailed view of the abdominal organs. It has the remarkable ability to diagnose a range of conditions, from kidney stones to tumors, providing crucial information that can guide treatment decisions. For Meena, it was a beacon of hope in a sea of uncertainty.

The day of the scan arrived, and Meena found herself in the waiting room of a bustling diagnostic center. Her heart fluttered with a mixture of fear and anticipation. As she lay on the scanning table, the machine whirring gently around her, she couldn’t help but feel a sense of vulnerability. Yet, there was also a glimmer of hope—a belief that this scan could finally provide the answers she needed.

The results of the scan arrived faster than Meena expected. Sitting across from her doctor, she listened intently as he explained the findings. Fortunately, her scan revealed a manageable condition that required medication and dietary adjustments. The relief was palpable. No longer was she plagued by the fear of an unknown ailment; she had a clear path forward.

Meena’s experience is not unique. Across India, countless individuals face similar dilemmas, where the lack of a definitive diagnosis fuels anxiety and disrupts lives. An abdominal CT scan acts as a crucial diagnostic ally, unraveling the mysteries within and offering peace of mind.

For Ramesh, a 60-year-old retired teacher from Chennai, an abdominal CT scan played a life-saving role. Persistent abdominal discomfort led him to seek medical advice, and the scan revealed an early-stage tumor. Prompt diagnosis allowed for immediate treatment, sparing him from a more invasive intervention later. Ramesh’s story underscores the importance of early detection and the invaluable role of advanced diagnostic tools.

The impact of an abdominal CT scan extends beyond the practical realm of diagnosis. It addresses the emotional turmoil that accompanies uncertainty. For individuals like Meena and Ramesh, it offers reassurance—a chance to reclaim control over their health and lives.

In conclusion, the abdominal CT scan is more than just a medical procedure; it is a bridge to better health and peace of mind. It empowers individuals with knowledge, enabling them to make informed decisions about their well-being. As technology continues to advance, the accessibility and accuracy of such diagnostic tools will only improve, making stories like Meena’s and Ramesh’s more common and the fear of the unknown a distant memory.

If you or a loved one is grappling with unexplained abdominal discomfort, consider the potential of an abdominal CT scan. It might just be the key to unraveling the mystery and embarking on a journey towards better health and renewed peace of mind.

Visit Vyaparify Site: https://id.vyaparify.com/vision-diagnostic-center

Share it on:

Contact Us

back-to-top

Share