Phone

Email

Download

social share

Share

Save

Save

Embrace a Radiant Smile with Scaling at Apple Dental Clinic

Share it on:

Contact Us

Embrace a Radiant Smile with Scaling at Apple Dental Clinic

Embrace a Radiant Smile with Scaling at Apple Dental Clinic

In the bustling streets of Mumbai, Aarti Sharma was always on the go. As a dedicated school teacher, her days were filled with the joyful chaos of young minds eager to learn. However, beneath her vibrant exterior, Aarti harbored an insecurity that gnawed at her confidence her smile.

Aarti's teeth were often hidden behind her hand during conversations, laughter, and even in photographs. Despite her best efforts with regular brushing and flossing, her teeth seemed perpetually stained and her gums sensitive. Her dental visits often ended with a reminder about tartar buildup, a problem that seemed relentless no matter how many times it was addressed.

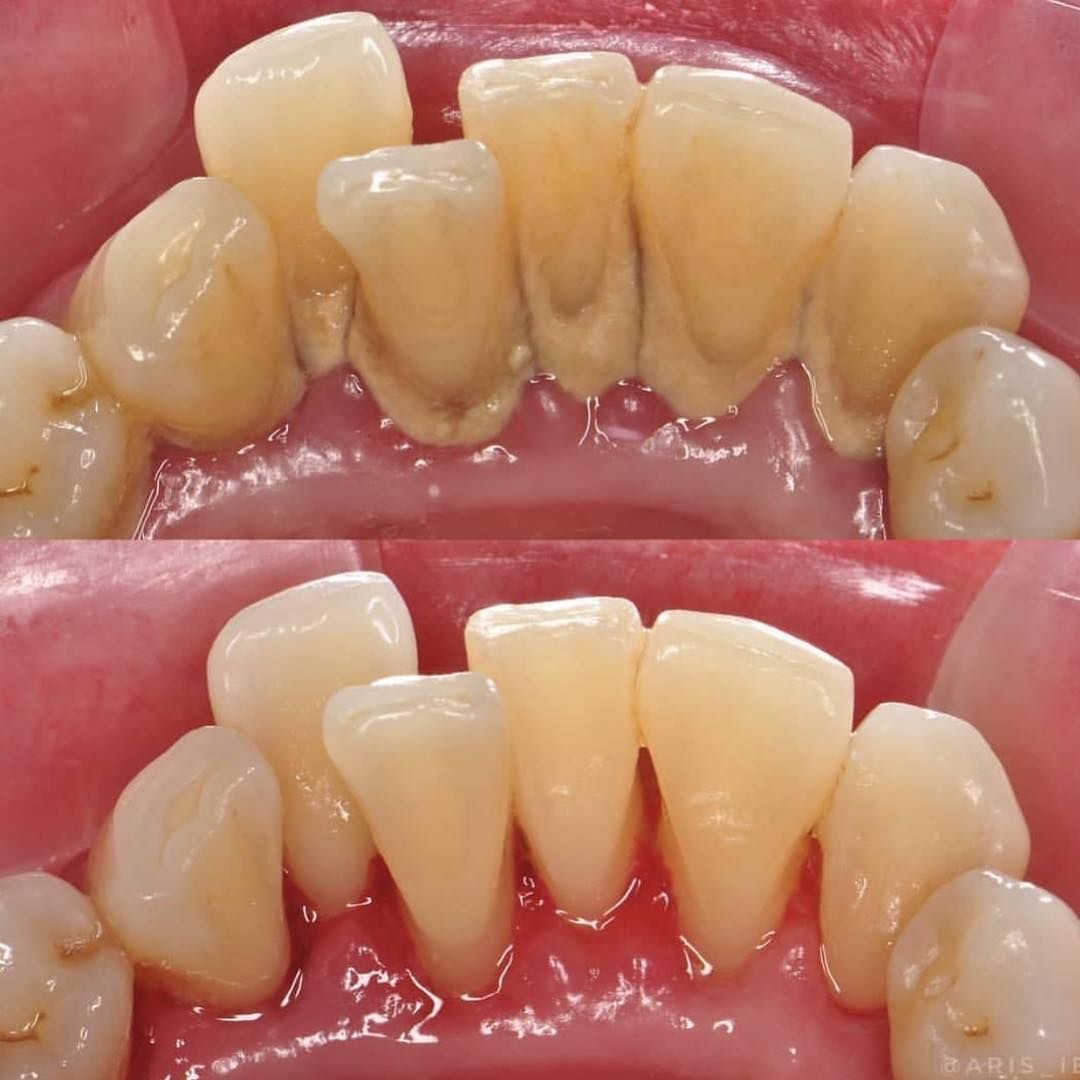
The Problem Persistent Dental Tartar and Stained Teeth

Aarti's case is not unusual. Many people face the challenge of dental tartar—a hard, calcified deposit that forms on teeth and can lead to gum disease if not managed properly. This can result in not only aesthetic concerns but also practical health issues, such as inflamed gums and bad breath. For Aarti, the persistent tartar meant frequent dental cleanings that only temporarily solved the problem, leaving her feeling frustrated and self-conscious about her stained teeth.

The Solution Professional Scaling at Apple Dental Clinic

One day, while browsing online for a more permanent solution, Aarti stumbled upon the services of Apple Dental Clinic. Known for their expertise and patient-centered approach, the clinic offered professional scaling services that promised to effectively manage tartar buildup and improve oral health.

Intrigued, Aarti decided to give it a try. Her first visit to Apple Dental Clinic was a revelation. Dr. Rajiv Kapoor, a seasoned dentist with a gentle demeanor, explained the process of scaling in detail. He emphasized how regular scaling could not only remove tartar and stains but also prevent gum disease and improve overall dental health.

Aarti’s Transformation From Insecurity to Confidence

During her first scaling session, Aarti was amazed at the thoroughness of the procedure. The dental hygienist meticulously removed the tartar from her teeth, paying close attention to her sensitive gums. After the session, Aarti's teeth felt remarkably clean, and her gums looked healthier.

Over the next few months, with regular scaling appointments, Aarti began to notice significant changes. Her teeth were visibly whiter, and her gums no longer bled during brushing. The transformation was not just physical. With each session, Aarti's confidence in her smile grew. She found herself smiling freely in class, engaging more openly with her students and colleagues.

Aarti’s Newfound Confidence and Healthier Smile

Aarti's journey with Apple Dental Clinic is a testament to the power of addressing dental issues with professional care and regular maintenance. Scaling not only resolved her practical issues with tartar and stains but also had a profound emotional impact, restoring her confidence and enhancing her quality of life.

Why Choose Apple Dental Clinic for Scaling?

Apple Dental Clinic specializes in delivering personalized care tailored to individual needs. Their expert team ensures that every patient understands the importance of oral health and receives treatment in a comfortable and welcoming environment. With state-of-the-art equipment and a commitment to patient satisfaction, they offer a comprehensive approach to dental care that goes beyond mere aesthetics.

For anyone like Aarti, who struggles with dental tartar and stained teeth, scaling at Apple Dental Clinic offers a practical solution that promises not just a healthier mouth but a brighter, more confident smile.



If you've ever felt self-conscious about your smile due to tartar buildup or stains, consider the transformative power of professional scaling. As Aarti discovered, a simple procedure can unlock a world of confidence and health. Visit Apple Dental Clinic and take the first step towards embracing a radiant smile today.



This blog post is designed to engage readers with a relatable story while conveying the practical benefits of scaling services, keeping both SEO optimization and emotional resonance in mind.

Visit Vyaparify Site: https://id.vyaparify.com/apple_dental_clinic

Share it on:

Contact Us

back-to-top

Share