Phone

Email

Download

social share

Share

Save

Save

Transforming Smiles, Transforming Lives: The Impact of Dental Scaling

Share it on:

Contact Us

Transforming Smiles, Transforming Lives: The Impact of Dental Scaling

Our smiles are often the first thing people notice about us; they’re a gateway to our personality and emotions. In India, where hospitality and warmth are revered, a healthy smile is not just a personal asset but a societal expectation. Yet, oral health issues such as plaque and tartar build-up are common, leading to a lack of confidence and health complications. Let's explore how dental scaling can be the answer to these concerns through the story of one particular client persona.

Meet Anjali, a 32-year-old marketing executive based in Mumbai. Anjali is a go-getter, always on her toes, meeting clients, and making presentations. For her, appearance and first impressions are crucial. Despite her professional success, Anjali has been quietly battling a personal issue – her oral health. Like many busy professionals, Anjali’s hectic schedule often leads her to neglect regular dental check-ups. Over time, she noticed her teeth becoming discolored and her gums sensitive, causing her embarrassment during interactions.

Anjali's major distinct problem is not just the physical build-up of plaque and tartar on her teeth, but the emotional impact it has had on her confidence and professional life. She finds herself covering her mouth when she laughs and avoiding close-up conversations. The anxiety of being judged for her oral hygiene overshadows her vibrant personality.

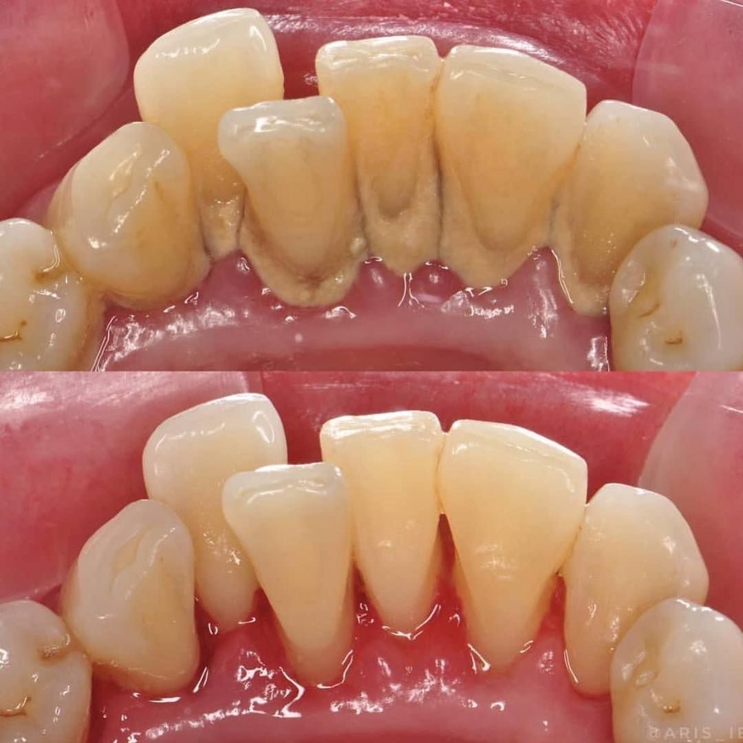
This is where the transformative power of dental scaling comes into play. Dental scaling is a meticulous procedure aimed at removing plaque, tartar, and stains from the teeth’s surfaces, especially around the gum line. It’s a practical solution to Anjali’s problem, with significant emotional benefits.

Anjali decided to take control of her oral health by visiting Apple Dental Clinic for a scaling session. Here, she was greeted by Dr. Mehta, a compassionate dentist known for her expertise in dental hygiene. Dr. Mehta explained the procedure to Anjali, emphasizing its importance not just for oral health but for overall well-being. She likened plaque to an unwelcome guest that overstays its visit, causing harm to both the teeth and gums.

During the procedure, Anjali was surprised at how comfortable and painless it was. Dr. Mehta used ultrasonic instruments to break down the plaque and tartar, followed by hand instruments for a thorough cleaning. As the session concluded, Anjali already felt a weight lifted off her shoulders. Her teeth felt smoother, and her gums looked healthier. But the most significant change was the boost in her confidence.

After her session, Anjali noticed immediate improvements. Her smile was brighter, and her gums were no longer sensitive. But beyond the physical changes, it was the emotional uplift that was transformative. Anjali found herself more willing to engage in conversations and was no longer self-conscious about her smile. Her newfound confidence even translated into her work, as she approached client meetings and presentations with renewed vigor.

Anjali’s story is not unique. Many people across India face similar challenges, where the demands of modern life often overshadow personal health. Dental scaling is a practical, efficient solution that addresses the root of these issues, providing both immediate and long-term benefits.

In conclusion, dental scaling is more than a hygiene procedure; it’s a gateway to a healthier, more confident you. By investing a little time in dental care, you can reap the benefits of improved oral health and a brighter smile, just like Anjali.

If you find yourself resonating with Anjali’s story, consider making an appointment for dental scaling. It's time to prioritize your health and transform your life, one smile at a time. Remember, a radiant smile is a journey that begins with a single step. Take that step today and embrace the confidence that comes with it. Your smile is your superpower, and dental scaling is the key to unlocking its full potential.

Visit Vyaparify Site: https://id.vyaparify.com/apple_dental_clinic

Share it on:

Contact Us

back-to-top

Share